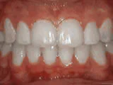
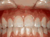
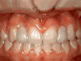
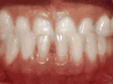
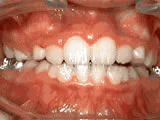
Crowding
Dental crowding is likely the most common condition treated in Orthodontics. It’s simply an imbalance between tooth size and space available in your mouth. Mild and moderate crowding can be corrected with braces or clear aligners easily, and severe crowding can involve extractions of teeth to create space if necessary.































